2月の活動報告です。
2月の収支報告は5月下旬に更新予定です。
梅っこのレスキュー開始から一年が経過しました。
これまでの経過と現在の状況についてまとめておりますので、ぜひ最後までお読みください。
もくじ
トピック
お見合い・トライアル・正式譲渡
通院の記録
移動
イベント
今後の梅っこの現場について
今後のイベントやお知らせ
ご支援のお願い
うさぎへの深い愛情を感じるご家族とお見合いを行い、
2/22よりトライアルへ進むことになりました。


大雪の日と重なりましたが、無事にお届けすることができました。
移動後も体調に問題はなく、さっそく新しいご家族に甘える様子を見せているそうです。


2/21~ さんしろちゃん→ゆきしろちゃん【師走っこ】
到着後すぐにお部屋を探検し、用意していただいた水切りトレーに入って、
チモシーをよく食べ、さっそくおしっこもしていました。
新しいご家族のもとで、たくさんの笑顔を届けてくれそうです。


2/22~ 爽太くん【梅っこ】
ケージに入るとすぐにチモシーを食べ始め、落ち着いた様子を見せてくれました。
お部屋の探検もどんどんチャレンジして楽しんでいました。
安全面についてもさらに整えてくださる予定です。


2/1 パピコちゃん→柚子ちゃん【梅っこ】
元気いっぱいに走り回りながらも、ご家族のなでなでにはうっとり。
怖がりな面があるので心配もありましたが、すぐにおうちに馴染み、安心した様子で過ごしているとのことです。


2/2 こるくん→こるくくん【ひまわり組】
日々見せてくれる新しい表情やしぐさに、ご家族も癒やされているそうです。
これからの毎日が穏やかでありますように。


2/23 そまくん【ひまわり組】
そまくんとのご縁をいただけたことに、心から感謝していますとのお言葉をいただきました。


2/27 ぷらむくん→うのくん【梅っこ】
良いうさ生になるよう、これからも温かく見守っていただけるとのことです。

2/28 たたくん→パンくん【梅っこ】
変わらず元気に走り回りながら、とても甘えん坊な一面も見せているそうです。
ご家族もその愛らしさにすっかり魅了されていました。

うかちゃん【梅っこ】
2/14 避妊手術 7月に避妊手術の予定でしたが、その時は腎臓の数値が悪く延期になりました。
今回も腎臓の数値にやや注意点はありましたが、手術は無事に終えることができました。
その他は問題ありませんでした。
2/21 抜糸 1.90kg


るよちゃん【梅っこ】
2/21 避妊手術 問題ありませんでした。
2/28 抜糸 1.64kg


梅っこの不妊手術は、これですべて完了いたしました。
頭数も多い中、ご理解とご支援をお寄せくださった皆さまに心より感謝申し上げます。
スナッフルのため鼻涙管洗浄と点滴で通院中。2025年8月に鼻骨円鋸手術を受けています。
2/14 お薬のみ処方
2/28 1.1kg 体重は減少してしまいましたが、想定内でした。
ここのところ、野菜は食べてくれますが、ペレットはあまり食べず、注意深く対応しています。
この日は鼻涙管洗浄と点滴を行いました。


ふぶきちゃん【師走っこ】
臼歯不正咬合で定期的に通院中。
2/2 無麻酔で臼歯カットを行い、その後も元気に過ごしていました。
2/25 体調の変化があり受診。
急性胃拡張が過ぎ去った後と診断され、点滴と注射をしました。
えりくん【小規模保護】
切歯不正咬合で定期的に通院中。
2/14 切歯カットで通院しました。
れたちゃん(№50)【梅っこ】
切歯不正咬合で定期的に通院中
2/21 切歯カットで通院しました。
12/24は1.94kg、1/24は1.76kg、今回は1.96kgでした。
前回は換毛期の影響もあってか一時的に体重が減少していましたが、しっかり回復しており、安定した様子にほっとしています。


はるくん【梅っこ】
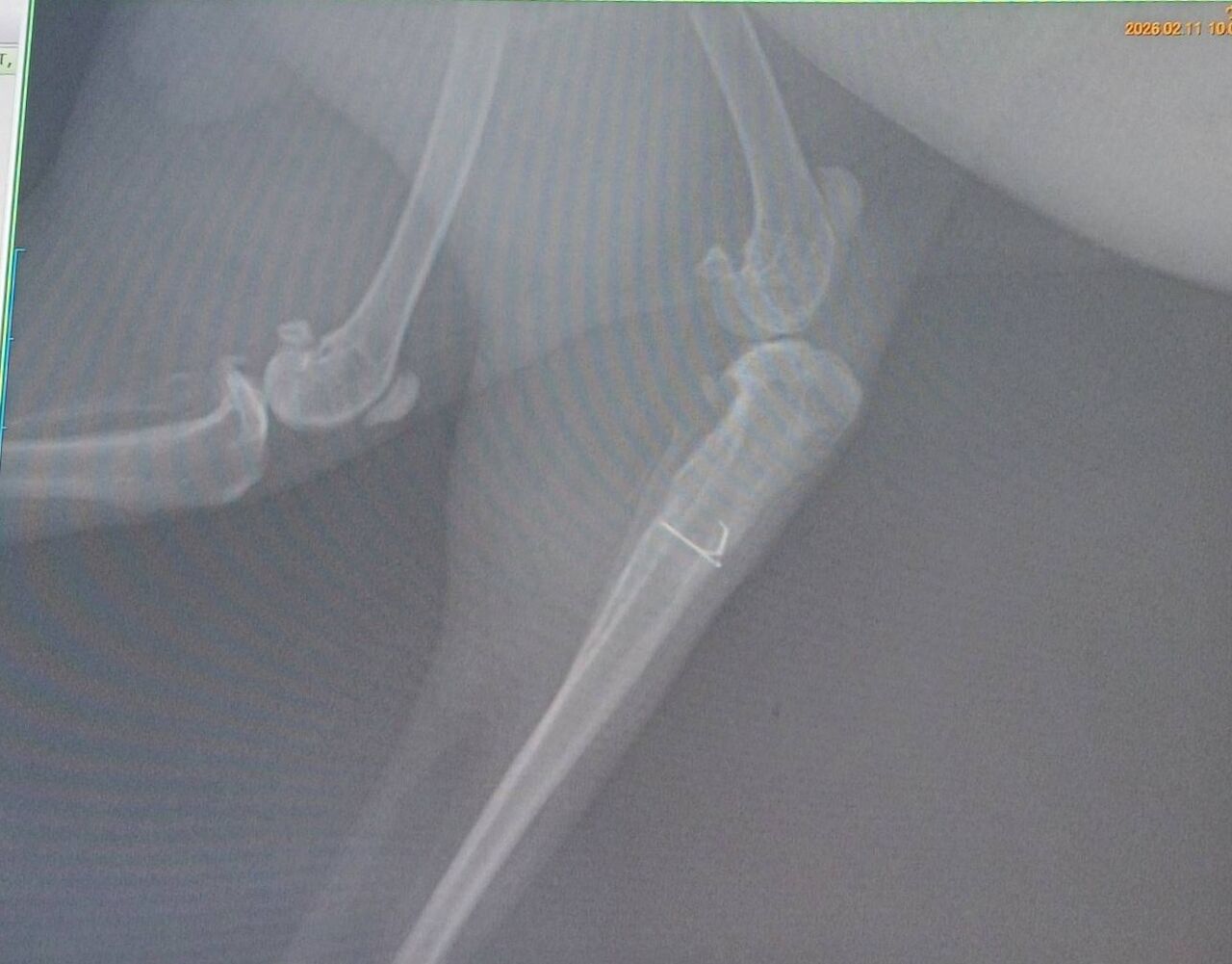
2025年11月に右後ろ脚を骨折し、11/14にピンニング手術を受け、現在も経過観察中です。
2/11 1800g 経過確認のため受診しました。
足裏の汚れは左右差はなく、足はよく使えており、ソアホックもありませんでした。
レントゲンでは骨の状態も良好で、筋肉もついてきており順調とのこと。
ここまで回復してくれたことに安堵しています。
ワイヤーが残ってるため、今後は先端が刺激になって炎症起こす可能性があり、
様子に変化があれば受診し、ワイヤー除去または先端を切る処置が必要になる可能性があると説明を受けました。
日常生活は通常通り可能とのことですが、様子を見ながら慎重に過ごしています。
次回再診は6月予定です。


〈これまでの経過〉
12/6に関西から関東の預かり宅へ移動。
翌日、軟便が多く出たため受診しましたが、コクシジウムは陰性。
移動ストレスとペレット給餌量過多による消化不良が原因と考えられました。
レントゲン・血液検査に大きな異常はなく、整腸剤を処方。
保護当初にコクシジウムで痩せた経緯があったため、それまでペレットは多めでしたが、体重増加を確認し適量へ調整。以降、軟便は落ち着き、食欲・元気ともに安定しています。
多飲多食傾向や、保護時に乳頭腫があったこともあり、引き続き慎重に見守ることになりました。
2/4 体重2.34kg 体重は順調に増加。
ただ、触診ではまだやや細さが残るとのことで、食事内容は現状維持となりました。
尻尾に皮膚炎があり、前足の付け根や後ろ足の内側にも同様の所見を確認されました。
皮膚は乾燥し硬くなっていたため薬を塗布。
ダニの可能性も考えられ、レボリューションを実施。
あわせて漢方薬2種を2週間分処方されました。
前回の移送直後は大人しかったのですが、
今回は診察室でしっかり自己主張し、想像以上に元気いっぱいで、
塗布薬の継続は難しいとの判断で内服へ切り替えました。
帰宅後はしっかり食べ、へやんぽでも活発に動いていました。
2/18 体重2.35kg 再診を受診しました。
尻尾や足の皮膚は改善し、新しい毛が生えてきました。
避妊手術で刈った部分も生え揃っています。
ダニが原因の可能性が高いため、2週間後に再度投薬予定。漢方も継続です。
移動や通院はややストレスになるようで軟便は見られますが、食欲は落ちていません。
体重は安定して増加しており、引き続き丁寧に経過を見ていきます。
ファブちゃん【小規模保護】
2/14 1.42kg
目の突出が気になり受診しました。
以前、胸腺腫で目が突出する症状が見られた子がいたため、似た状態に感じ受診しています。
レントゲンでは腫瘍性の所見は確認されませんでした。
腫瘍が原因であればレントゲンに写る程度の大きさになっているはずとのことで、
現時点では腫瘍はない、もしくはあっても極初期と考えられるとの説明でした。
以前に眼振が出たことがあり、その後遺症の可能性も考えられます。
2〜3か月後に再度レントゲンを検討し、今の段階でCTを行うのは過剰との判断でした。
引き続き慎重に様子を見ていきます。


ぱんだくん【花火っこ】
2/17 食欲が低下していたため受診しました。
点滴処置をしてもらい、帰宅後は牧草を食べて動きもあり、その後回復しました。

かぼすちゃん【梅っこ】
2/21 朝から食欲がなく、排便も見られなかったため緊急受診しました。
レントゲンでは急性胃拡張の疑いがあり、ガスも確認され、点滴と投薬で治療開始しました。
また、腸付近に石灰化様の白い影が見られましたが、誤飲の可能性は低そうとのこと。
急変のリスクを考え、念のため日中は病院で治療を受け、夕方にお迎えしました。
胃拡張は改善傾向で、午後にはチモシーとペレットを食べていたとのことです。
3日分の投薬があり、急変時はすぐ対応できる体制を取りました。
石灰化は腸の周囲を動いており、3か月単位でレントゲンを撮りながら経過観察となります。
過去に脂肪壊死による石灰化が確認されたケースと所見が似ているとの説明でした。

今回のレントゲンで右足に保護前に骨折した可能性がある湾曲が見つかりました。
将来的に左右で筋力差が出る可能性はありますが、現時点で生活に支障はないとのことでした。

翌朝にはしっかり良いうんちが出て、お薬も問題なく出来て、回復しました。
よんちゃん【梅っこ】
2/15 病院にて爪切りを行いました。
体重は2kgを超えていますが、骨格によるもので問題ないとのことでした。
きなこちゃん【梅っこ】
2/21 1.72kg お見合いに向けて健診 問題ありませんでした。
ご縁には至りませんでしたが、また良い出会いをゆっくり待ちたいと思います。

美心(みみ)ちゃん【梅っこ】
2/22 専門店で爪切りと健康チェックを受けました。
きおくん【梅っこ】
2/28 1.86kg トライアル前健診 問題ありませんでした。


2/6 ぱらむくん【梅っこ】イベント参加に向けて預かり宅一時移動
2/11 ぱらむくん【梅っこ】イベント参加終了し、預かり宅へ帰宅
2/11 かおちゃん【梅っこ】・くすくん【小規模保護】預かり宅移動 (関西→関東)

↑かおちゃん

↑くすくん
2/12 くすくん【梅っこ】 予定していた預かりさんのお宅へ移動しました(関東内)
2/21 きなこちゃん【梅っこ】 譲渡会に向けて移動
2/22 きおくん【梅っこ】譲渡会が終了し、預かり宅へ帰宅
2/23 てもちゃん【梅っこ】 預かり宅移動(関西内)
2/27 きおくん【梅っこ】トライアル前健診のため移動
2/28 きなこちゃん【梅っこ】 譲渡会を終えて、元の預かり宅へ戻りました。
いつも隠れ家にしてた場所に改めて隠れ家を用意してもらうと、すぐにそこへ入り込んでいました。
2/28 ころちゃん【梅っこ】預かり宅移動(関西内)
2/7・2/8 開催【屋内イベント】手作り雑貨と保護うさぎVol.7
うさぎのきた道さん主催で開催されたイベントです。
参加した保護うさぎは、
師走っこから、ラウくん・ウォンくん、
梅っこから、りあちゃん・ネイトくん・ぱらむくん・なつかくん・リルネちゃん・ドナちゃん・サムくん、
小規模保護のファブちゃんが参加しました。
イベントの売り上げと募金箱より、合計37,910円のご支援をいただきました。
当日の様子は主催ブログをご覧ください。
2/15オルボ譲渡会(吹田市)
預かりボランティアさんが参加されました。
2/22開催 【譲渡会】保護うさぎさんに逢おうの会in大阪
準備していたご予約枠は早々に満席となり、飛び入りや常連の方もお越しくださり、
大盛況の一日となりました。
きおくん【梅っこ】・茶々姫ちゃん【梅っこ】・きなこちゃん【梅っこ】・ぱらむくん【梅っこ】はお見合いを行いました。
きおくんと茶々姫ちゃんはトライアルが決定しました。
ミモザちゃん【滋賀っこ】・マーティくん【梅っこ】・茶々ちゃん【梅っこ】も参加し、
それぞれが一生懸命アピールを頑張りました。
当日の様子for the RABBIT Instagram
2/23開催 【譲渡会】保護うさぎさんに逢おうの会in葛飾
葛飾会場は、ぼいすさんの保護うさぎとの合同開催です。
for the RABBITからは、ふぶきちゃん【師走っこ】が参加しました。
次回は5/4の予定です。
梅っこのレスキュー開始から1年が経過しました。
劣悪な環境にいたうさぎたちは見違えるように回復し、現在も譲渡が進んでいます。
今回は梅っこ現場の体制変更についてご報告いたします。
協議の結果、2/28をもってfor the RABBITを脱退されたうっとこのこさんが、梅っこ現場の対応を担当されることになりました。
うっとこのこさんが預かっていたfor the RABBITのうさぎの引き継ぎ、
ならびに担当されていた預かりボランティアさんの引き継ぎはすべて完了しています。
これまでたくさんのうさぎを預かってくださり、
また脱退にあたり日程の調整などにもご対応いただきましたこと、
心よりお礼申し上げます。
for the RABBITは梅っこの現場との関わりからは離れますが、
これまでにレスキューしたうさぎたちについては、
今後も一匹一匹、丁寧に対応を続けていきます。
最後に梅っこの現場の数をまとめましたので報告します。
現場にいたうさぎの総数 151匹
内、別団体・協力者担当数 90匹
for the RABBIT担当数 61匹
for the RABBIT担当
出産 75匹
死亡 24匹
総数 ※死亡含めず 112 匹
総数 ※死亡含む 136匹
全ての総数
202匹(死亡含めず)
226匹(死亡含む)
※出産、死亡数はfor the RABBIT内のみカウントしています。
別団体・協力者へ移動後の出産死亡も聞いているので実際はもっと多いことになります。
みなさまの応援をいただき沢山のうさぎを保護することが出来ました。
改めて感謝申し上げます。
ありがとうございました。
for the RABBIT Instagram
【あれから一年 梅っこレスキュー】
3/14 【屋外イベント】けんとすまいるフェス(吹田市)
3/15 オルボ譲渡会(吹田市)
※預かりボランティアさんが参加されます。
詳細は預かりボランティアさんのブログをご覧ください。
3/22 【譲渡会】保護うさぎさんに逢おうの会in大阪
3/28 【屋外イベント】第15回保護いぬ&ねこの譲渡会(高槻市)
4/5 【譲渡会】保護うさぎさんに逢おうの会in京都
4/12 【譲渡会】保護うさぎさんに逢おうの会in神戸
うさぎの保護から里親決定まで、継続的な支援が必要です。
将来のご家族に健康に迎えていただくために医療費が特に必要です。
医療費などの資金は常に不足しています。
アマゾン欲しいものリストのシステム的な理由で、牧草やペレットをリストに入れることが出来ないことから、物資購入費が以前より必要になっています。
他にもより早く里親さんとのご縁を繋げるために関西から関東へ定期的にうさぎの移動も行っていたり、遠方へ里親に出る場合の交通費が必要です。
ご支援に支えられ、私たちの活動が成り立っています。
どんなに小さな支援でも大きな力になります。
無理のない程度で構いません。
うさぎたちのためにこれからも精一杯務めて参りますので、ご支援をよろしくお願いします。
保護うさぎ支援金の振込先
ゆうちょ銀行
記号14300 番号88315741
口座名:フォー ザ ラビット
※ゆうちょ以外から
店名 四三八 店番 438
口座番号 8831574
物資の支援も引き続きよろしくお願いします。
物資購入にAmazonギフト券を使用しており、常に不足しております。
物資の保管スペースの問題と、遠方への物資配送をスムーズに行うことが可能になる為、Amazonギフト券でご支援頂けると大変助かります。
for the RABBIT Amazon欲しいものリスト
ご支援頂いた物資は担当のウサギデザインSNSでお礼を申し上げています。
仕事とうさぎのお世話の合間の報告となりますので、遅れがちになりますがご了承ください。
ウサギデザインTwitter
物資報告Instagram
里親募集中のうさぎたちの一覧です
for the RABBIT Instagram

for the RABBIT YouTube

当ブログの記事・写真の無断転載はご遠慮ください。
2月の収支報告は5月下旬に更新予定です。
梅っこのレスキュー開始から一年が経過しました。
これまでの経過と現在の状況についてまとめておりますので、ぜひ最後までお読みください。
もくじ
トピック
お見合い・トライアル・正式譲渡
通院の記録
移動
イベント
今後の梅っこの現場について
今後のイベントやお知らせ
ご支援のお願い
お見合い・トライアル・正式譲渡
お見合い
2/1 爽太くん【梅っこ】うさぎへの深い愛情を感じるご家族とお見合いを行い、
2/22よりトライアルへ進むことになりました。


トライアル
2/8~ そまくん【ひまわり組】大雪の日と重なりましたが、無事にお届けすることができました。
移動後も体調に問題はなく、さっそく新しいご家族に甘える様子を見せているそうです。


2/21~ さんしろちゃん→ゆきしろちゃん【師走っこ】
到着後すぐにお部屋を探検し、用意していただいた水切りトレーに入って、
チモシーをよく食べ、さっそくおしっこもしていました。
新しいご家族のもとで、たくさんの笑顔を届けてくれそうです。


2/22~ 爽太くん【梅っこ】
ケージに入るとすぐにチモシーを食べ始め、落ち着いた様子を見せてくれました。
お部屋の探検もどんどんチャレンジして楽しんでいました。
安全面についてもさらに整えてくださる予定です。


正式譲渡
for the RABBITのInstagramにて里親様のコメントと併せて正式譲渡の報告をしておりますので、ぜひご覧ください。2/1 パピコちゃん→柚子ちゃん【梅っこ】
元気いっぱいに走り回りながらも、ご家族のなでなでにはうっとり。
怖がりな面があるので心配もありましたが、すぐにおうちに馴染み、安心した様子で過ごしているとのことです。


2/2 こるくん→こるくくん【ひまわり組】
日々見せてくれる新しい表情やしぐさに、ご家族も癒やされているそうです。
これからの毎日が穏やかでありますように。


2/23 そまくん【ひまわり組】
そまくんとのご縁をいただけたことに、心から感謝していますとのお言葉をいただきました。


2/27 ぷらむくん→うのくん【梅っこ】
良いうさ生になるよう、これからも温かく見守っていただけるとのことです。


2/28 たたくん→パンくん【梅っこ】
変わらず元気に走り回りながら、とても甘えん坊な一面も見せているそうです。
ご家族もその愛らしさにすっかり魅了されていました。


通院の記録
不妊手術
不妊手術時にレントゲン検査、血液検査、口腔内検査を行っています。うかちゃん【梅っこ】
2/14 避妊手術 7月に避妊手術の予定でしたが、その時は腎臓の数値が悪く延期になりました。
今回も腎臓の数値にやや注意点はありましたが、手術は無事に終えることができました。
その他は問題ありませんでした。
2/21 抜糸 1.90kg


るよちゃん【梅っこ】
2/21 避妊手術 問題ありませんでした。
2/28 抜糸 1.64kg


梅っこの不妊手術は、これですべて完了いたしました。
頭数も多い中、ご理解とご支援をお寄せくださった皆さまに心より感謝申し上げます。
慢性疾患・長期治療
らにくん【かくれんぼーず】スナッフルのため鼻涙管洗浄と点滴で通院中。2025年8月に鼻骨円鋸手術を受けています。
2/14 お薬のみ処方
2/28 1.1kg 体重は減少してしまいましたが、想定内でした。
ここのところ、野菜は食べてくれますが、ペレットはあまり食べず、注意深く対応しています。
この日は鼻涙管洗浄と点滴を行いました。


ふぶきちゃん【師走っこ】
臼歯不正咬合で定期的に通院中。
2/2 無麻酔で臼歯カットを行い、その後も元気に過ごしていました。
2/25 体調の変化があり受診。
急性胃拡張が過ぎ去った後と診断され、点滴と注射をしました。
えりくん【小規模保護】
切歯不正咬合で定期的に通院中。
2/14 切歯カットで通院しました。
れたちゃん(№50)【梅っこ】
切歯不正咬合で定期的に通院中
2/21 切歯カットで通院しました。
12/24は1.94kg、1/24は1.76kg、今回は1.96kgでした。
前回は換毛期の影響もあってか一時的に体重が減少していましたが、しっかり回復しており、安定した様子にほっとしています。


はるくん【梅っこ】
2025年11月に右後ろ脚を骨折し、11/14にピンニング手術を受け、現在も経過観察中です。
2/11 1800g 経過確認のため受診しました。
足裏の汚れは左右差はなく、足はよく使えており、ソアホックもありませんでした。
レントゲンでは骨の状態も良好で、筋肉もついてきており順調とのこと。
ここまで回復してくれたことに安堵しています。
ワイヤーが残ってるため、今後は先端が刺激になって炎症起こす可能性があり、
様子に変化があれば受診し、ワイヤー除去または先端を切る処置が必要になる可能性があると説明を受けました。
日常生活は通常通り可能とのことですが、様子を見ながら慎重に過ごしています。
次回再診は6月予定です。


急性疾患・短期治療
あすちゃん【ひまわり組】〈これまでの経過〉
12/6に関西から関東の預かり宅へ移動。
翌日、軟便が多く出たため受診しましたが、コクシジウムは陰性。
移動ストレスとペレット給餌量過多による消化不良が原因と考えられました。
レントゲン・血液検査に大きな異常はなく、整腸剤を処方。
保護当初にコクシジウムで痩せた経緯があったため、それまでペレットは多めでしたが、体重増加を確認し適量へ調整。以降、軟便は落ち着き、食欲・元気ともに安定しています。
多飲多食傾向や、保護時に乳頭腫があったこともあり、引き続き慎重に見守ることになりました。
2/4 体重2.34kg 体重は順調に増加。
ただ、触診ではまだやや細さが残るとのことで、食事内容は現状維持となりました。
尻尾に皮膚炎があり、前足の付け根や後ろ足の内側にも同様の所見を確認されました。
皮膚は乾燥し硬くなっていたため薬を塗布。
ダニの可能性も考えられ、レボリューションを実施。
あわせて漢方薬2種を2週間分処方されました。
前回の移送直後は大人しかったのですが、
今回は診察室でしっかり自己主張し、想像以上に元気いっぱいで、
塗布薬の継続は難しいとの判断で内服へ切り替えました。
帰宅後はしっかり食べ、へやんぽでも活発に動いていました。
2/18 体重2.35kg 再診を受診しました。
尻尾や足の皮膚は改善し、新しい毛が生えてきました。
避妊手術で刈った部分も生え揃っています。
ダニが原因の可能性が高いため、2週間後に再度投薬予定。漢方も継続です。
移動や通院はややストレスになるようで軟便は見られますが、食欲は落ちていません。
体重は安定して増加しており、引き続き丁寧に経過を見ていきます。
ファブちゃん【小規模保護】
2/14 1.42kg
目の突出が気になり受診しました。
以前、胸腺腫で目が突出する症状が見られた子がいたため、似た状態に感じ受診しています。
レントゲンでは腫瘍性の所見は確認されませんでした。
腫瘍が原因であればレントゲンに写る程度の大きさになっているはずとのことで、
現時点では腫瘍はない、もしくはあっても極初期と考えられるとの説明でした。
以前に眼振が出たことがあり、その後遺症の可能性も考えられます。
2〜3か月後に再度レントゲンを検討し、今の段階でCTを行うのは過剰との判断でした。
引き続き慎重に様子を見ていきます。


ぱんだくん【花火っこ】
2/17 食欲が低下していたため受診しました。
点滴処置をしてもらい、帰宅後は牧草を食べて動きもあり、その後回復しました。

かぼすちゃん【梅っこ】
2/21 朝から食欲がなく、排便も見られなかったため緊急受診しました。
レントゲンでは急性胃拡張の疑いがあり、ガスも確認され、点滴と投薬で治療開始しました。
また、腸付近に石灰化様の白い影が見られましたが、誤飲の可能性は低そうとのこと。
急変のリスクを考え、念のため日中は病院で治療を受け、夕方にお迎えしました。
胃拡張は改善傾向で、午後にはチモシーとペレットを食べていたとのことです。
3日分の投薬があり、急変時はすぐ対応できる体制を取りました。
石灰化は腸の周囲を動いており、3か月単位でレントゲンを撮りながら経過観察となります。
過去に脂肪壊死による石灰化が確認されたケースと所見が似ているとの説明でした。

今回のレントゲンで右足に保護前に骨折した可能性がある湾曲が見つかりました。
将来的に左右で筋力差が出る可能性はありますが、現時点で生活に支障はないとのことでした。

翌朝にはしっかり良いうんちが出て、お薬も問題なく出来て、回復しました。
検診・健診・その他
健診は基本的に触診、視診、心音、耳の中・口腔内のチェックを行い、個体ごとに必要に応じた検査や診察を実施しています。よんちゃん【梅っこ】
2/15 病院にて爪切りを行いました。
体重は2kgを超えていますが、骨格によるもので問題ないとのことでした。
きなこちゃん【梅っこ】
2/21 1.72kg お見合いに向けて健診 問題ありませんでした。
ご縁には至りませんでしたが、また良い出会いをゆっくり待ちたいと思います。

美心(みみ)ちゃん【梅っこ】
2/22 専門店で爪切りと健康チェックを受けました。
きおくん【梅っこ】
2/28 1.86kg トライアル前健診 問題ありませんでした。


移動
2/11 ぱらむくん【梅っこ】イベント参加終了し、預かり宅へ帰宅
2/11 かおちゃん【梅っこ】・くすくん【小規模保護】預かり宅移動 (関西→関東)

↑かおちゃん

↑くすくん
2/12 くすくん【梅っこ】 予定していた預かりさんのお宅へ移動しました(関東内)
2/21 きなこちゃん【梅っこ】 譲渡会に向けて移動
2/22 きおくん【梅っこ】譲渡会が終了し、預かり宅へ帰宅
2/23 てもちゃん【梅っこ】 預かり宅移動(関西内)
2/27 きおくん【梅っこ】トライアル前健診のため移動
2/28 きなこちゃん【梅っこ】 譲渡会を終えて、元の預かり宅へ戻りました。
いつも隠れ家にしてた場所に改めて隠れ家を用意してもらうと、すぐにそこへ入り込んでいました。
2/28 ころちゃん【梅っこ】預かり宅移動(関西内)
イベント
うさぎのきた道さん主催で開催されたイベントです。
参加した保護うさぎは、
師走っこから、ラウくん・ウォンくん、
梅っこから、りあちゃん・ネイトくん・ぱらむくん・なつかくん・リルネちゃん・ドナちゃん・サムくん、
小規模保護のファブちゃんが参加しました。
イベントの売り上げと募金箱より、合計37,910円のご支援をいただきました。
当日の様子は主催ブログをご覧ください。
2/15オルボ譲渡会(吹田市)
預かりボランティアさんが参加されました。
2/22開催 【譲渡会】保護うさぎさんに逢おうの会in大阪
準備していたご予約枠は早々に満席となり、飛び入りや常連の方もお越しくださり、
大盛況の一日となりました。
きおくん【梅っこ】・茶々姫ちゃん【梅っこ】・きなこちゃん【梅っこ】・ぱらむくん【梅っこ】はお見合いを行いました。
きおくんと茶々姫ちゃんはトライアルが決定しました。
ミモザちゃん【滋賀っこ】・マーティくん【梅っこ】・茶々ちゃん【梅っこ】も参加し、
それぞれが一生懸命アピールを頑張りました。
当日の様子for the RABBIT Instagram
2/23開催 【譲渡会】保護うさぎさんに逢おうの会in葛飾
葛飾会場は、ぼいすさんの保護うさぎとの合同開催です。
for the RABBITからは、ふぶきちゃん【師走っこ】が参加しました。
次回は5/4の予定です。
今後の梅っこの現場について
劣悪な環境にいたうさぎたちは見違えるように回復し、現在も譲渡が進んでいます。
今回は梅っこ現場の体制変更についてご報告いたします。
協議の結果、2/28をもってfor the RABBITを脱退されたうっとこのこさんが、梅っこ現場の対応を担当されることになりました。
うっとこのこさんが預かっていたfor the RABBITのうさぎの引き継ぎ、
ならびに担当されていた預かりボランティアさんの引き継ぎはすべて完了しています。
これまでたくさんのうさぎを預かってくださり、
また脱退にあたり日程の調整などにもご対応いただきましたこと、
心よりお礼申し上げます。
for the RABBITは梅っこの現場との関わりからは離れますが、
これまでにレスキューしたうさぎたちについては、
今後も一匹一匹、丁寧に対応を続けていきます。
最後に梅っこの現場の数をまとめましたので報告します。
現場にいたうさぎの総数 151匹
内、別団体・協力者担当数 90匹
for the RABBIT担当数 61匹
for the RABBIT担当
出産 75匹
死亡 24匹
総数 ※死亡含めず 112 匹
総数 ※死亡含む 136匹
全ての総数
202匹(死亡含めず)
226匹(死亡含む)
※出産、死亡数はfor the RABBIT内のみカウントしています。
別団体・協力者へ移動後の出産死亡も聞いているので実際はもっと多いことになります。
みなさまの応援をいただき沢山のうさぎを保護することが出来ました。
改めて感謝申し上げます。
ありがとうございました。
for the RABBIT Instagram
【あれから一年 梅っこレスキュー】
今後のイベントやお知らせ
3/15 オルボ譲渡会(吹田市)
※預かりボランティアさんが参加されます。
詳細は預かりボランティアさんのブログをご覧ください。
3/22 【譲渡会】保護うさぎさんに逢おうの会in大阪
3/28 【屋外イベント】第15回保護いぬ&ねこの譲渡会(高槻市)
4/5 【譲渡会】保護うさぎさんに逢おうの会in京都
4/12 【譲渡会】保護うさぎさんに逢おうの会in神戸
ご支援のお願い
将来のご家族に健康に迎えていただくために医療費が特に必要です。
医療費などの資金は常に不足しています。
アマゾン欲しいものリストのシステム的な理由で、牧草やペレットをリストに入れることが出来ないことから、物資購入費が以前より必要になっています。
他にもより早く里親さんとのご縁を繋げるために関西から関東へ定期的にうさぎの移動も行っていたり、遠方へ里親に出る場合の交通費が必要です。
ご支援に支えられ、私たちの活動が成り立っています。
どんなに小さな支援でも大きな力になります。
無理のない程度で構いません。
うさぎたちのためにこれからも精一杯務めて参りますので、ご支援をよろしくお願いします。
保護うさぎ支援金の振込先
ゆうちょ銀行
記号14300 番号88315741
口座名:フォー ザ ラビット
※ゆうちょ以外から
店名 四三八 店番 438
口座番号 8831574
物資の支援も引き続きよろしくお願いします。
物資購入にAmazonギフト券を使用しており、常に不足しております。
物資の保管スペースの問題と、遠方への物資配送をスムーズに行うことが可能になる為、Amazonギフト券でご支援頂けると大変助かります。
for the RABBIT Amazon欲しいものリスト
ご支援頂いた物資は担当のウサギデザインSNSでお礼を申し上げています。
仕事とうさぎのお世話の合間の報告となりますので、遅れがちになりますがご了承ください。
ウサギデザインTwitter
物資報告Instagram
里親募集中のうさぎたちの一覧です
for the RABBIT Instagram

for the RABBIT YouTube

当ブログの記事・写真の無断転載はご遠慮ください。